Course / Event Concluded


This course / event you are looking for has concluded. Please see below a list of similar courses

VIEW SIMILAR COURSES

FUSIC and FAMUS
Date: 
Thursday, 12-Mar-2026 to Friday, 13-Mar-2026
Duration(Days): 
Accreditation :  10 CPD points - RCOA
Availability: Nearly full
Location : Ashlar House, Bury St Edmunds, SUFFOLK, United Kingdom, IP32 7AB
Contact email: 
Fee options: 

    2026-03-12 00:00:00 2026-03-13 00:00:00 Europe/London West Suffolk FUSIC and FAMUS course March 2026 West Suffolk FUSIC and FAMUS course March 2026 Ashlar House, Bury St Edmunds, SUFFOLK, United Kingdom, IP32 7AB

    Description

     

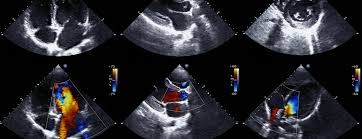
    Do you want to take your POCUS skills to the next level and at the same time wish to get accredited, then this course is perfect for you. This is a very popular Two day FUSIC and FAMUS ultrasound course for Intensivist, Acute medicine, Anaesthetics and ED physicians at all level from resident doctors to Consultants. Faculty comprises of accredited FUSIC and FAMUS trainer and all consultant delivered and this course is running for over 10 years.

    Day 1 focuses on FUSIC heart, with lectures on basic heart ultrasound, heart ultrasound in shock, volume assessment and lectures on assessing Left and Right heart. Plenty of Hands on workshops on volunteers and real patient, taught by experienced faculty from cardiology and critical care.

    Day 2 focuses on Lung ultrasound, basic and pathology, Abdominal ultrasound including liver, kidney, FAST scan, and DVT and Vascular access scan. Lectures and hands on workshops delivered by consultants.

    Each workstation group includes only 4 delegates to get maximum hands on practice. Practice on cardiac and POCUS simulator.

    The course also has a pre-course reading material including video, which will be sent to each individual delegates after they have registered as the electronic file is too big to be uploaded here.

     

    Cancellation Policy:
    Full refund 1 month prior to course date, i.e 12/02/2026
    Half refund 15 days prior to course date, i.e 27/02/2026
    Refund between 15 days and day 0 is subjected to place been occupied by waiting list people
    • Added by: Kaushik Bhowmick
    • Added on: 18 November 2025